お肌のピーリングは聞いたことがあるけど、歯茎のピーリング(ガムピーリング)は初めて聞くという方が多いかと思います。
歯茎の黒ずみ気にお悩みの方、諦めないで当院にお任せください
ガムピーリングとはメラニン色素やタバコのヤニなどで黒くなっている歯茎(歯肉)をピンク色に戻す治療です。
人の第一印象は一瞬で決まると言われています!
特に口元が綺麗だと品や清潔感のある印象を与えることができます
口元の印象アップには歯のホワイトニングもお勧めですが、“ガムピーリング”でピンクの歯茎を手に入れて
ワンランク上の美しさを目指しませんか?
いくら白くて美しい歯でも歯茎が黒ずんでいては台無しです・・・
歯茎の黒ずみはご自身では戻すことが難しいため、お一人で悩まずに是非ご相談ください。
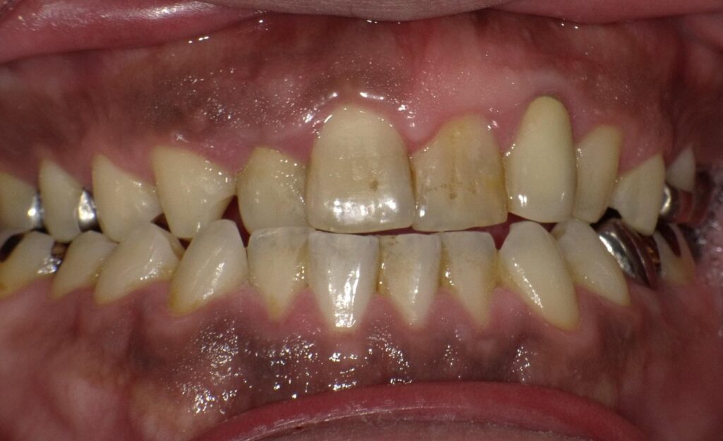
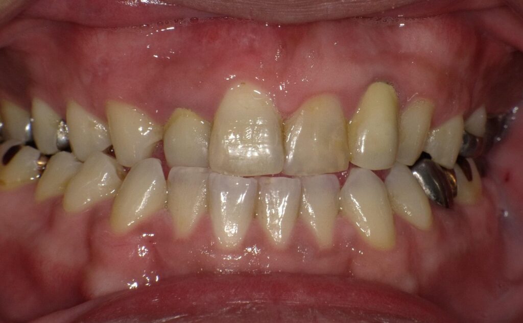
当院施術症例
Before

After

治療方法:レーザーガムピーリング
DENTAL TANIZAWAのガムピーリングの特徴
当院ではレーザー(炭酸ガスレーザー)を使用したガムピーリングと、薬剤を使用したガムピーリングの2つからお選びいただくことができます。
レーザー機器は非常に高価なため、レーザーを所有していない歯科医院さんも多く、
薬剤のみで治療する方法のみ取り扱っている歯科医院が多いですが、当院では患者様のご要望に合わせてお選びいただけるようにしております。
薬剤を使うガムピーリングの特徴
【
メリット】
・表面麻酔のみで受けることができる
・歯科衛生士が主に施術するためエステ感覚で受けることができる
・安価で受けることができる
【
デメリット】
・重度の歯周病の方は受けられない
・アルコールアレルギーの方は受けられない
・治療が回数が数回必要なことがある
・回復に1週間ほど時間がかかる
レーザーを使用したガムピーリングの特徴
【
メリット】
・レーザーが歯茎の治癒を促してくれるため治りが早い
・1回の治療で効果を感じやすい(黒ずみの濃さなどにより個人差はございます)
・歯科医師が施術を行う
【
デメリット】
・浸潤麻酔(注射の麻酔)で行う必要がある(表面麻酔をしてから行いますのでお痛みは最小限です)
・痛み止めが必要な場合がある(お痛みは個人差がございます)
※炭酸ガス(CO2)レーザーは口内炎の治療や、外科処置など様々な治療で使用されており、組織の損傷が最小限でさらに組織の再生を促す効果もあります。
歯茎が黒ずんでしまう原因
・タバコ(吸っている方だけではなく身近に吸っている人がいると副流煙でお子様の歯茎まで黒ずむ傾向があります)
・口呼吸が習慣の方
・メラニン色素が体質的に多い方
・金属の被せ物の影響(メタルタトゥー)
施術の流れ
①麻酔をかけます。(約5分)
薬剤ガムピーリング:表面麻酔(塗るタイプの麻酔のみ)
レーザーガムピーリング:浸潤麻酔(注射の麻酔です。表面麻酔をしてから行いますのでお痛みは最小限です。)
②前から4~5番目の歯あたりまでの笑うと見える範囲内の黒ずみに施術していきます。(約15分)
薬剤ガムピーリング:薬剤を塗布していきます。
レーザーガムピーリング:レーザーを照射していきます。
③消毒を行い、術後の説明を聞き終了です。(約5分)
注意事項
・しみる可能性があるため2~3日間は刺激の強い食べ物(酸っぱいものや塩辛いものなど)は控えてください
・歯磨きの際は照射した部分に当たらないように注意してください
・2~3日ほどヒリヒリとしたお痛みを感じることがあります
・2~3日ほど施術した部分が白っぽく見えます
・生活習慣や体質で再発することがございます
・金属の被せ物が原因の黒ずみの場合は、先に被せ物を金属を使わないものに交換(メタルフリーに)してからガムピーリングを行うことでより美しいピンクの歯茎になります
・再発の原因になりますので喫煙はお控えください
料金
薬剤を使用するガムピーリング :11,000円(税込)
レーザーを使用するガムピーリング :22,000円 (税込)
※どちらも麻酔代・薬代込み
■■□――――――――――――――――□■■
高田馬場 インプラント治療から
インビザライン(マウスピース矯正)
セラミック治療 訪問診療 まで幅広く対応
厚生労働省認可 【かかりつけ歯科医機能強化型歯科診療所】取得
DENTAL TANIZAWA
住所:新宿区西早稲田3-15-3 パラディア西早稲田1F.B1
LINE:@dentaltanizawa
■■□――――――――――――――――□■■
文章作成:院長 谷澤 綾乃

