こんにちは!
新宿区の西早稲田・高田馬場エリアにあります、DENTAL TANIZAWA 歯科衛生士の山川です。
当院では金属を使わない体に優しいメタルフリーの治療や、再治療が少ない丁寧な治療をご提供しています。
本日は「銀歯は金属アレルギーになりやすいの?銀歯は虫歯になりやすいの?」
金属を使う被せ物についての特徴をお話しさせていただきます。
◆保険の金属の被せ物、一般的に銀歯と言われるものについて
銀合金と言われており、様々な金属が混ざったものが保険の金属として使用されています。これは厚生労働省に配合量も規定されています。
【金約12%、パラジウム約20%(JIS規格)、銀約50%、銅約20%前後、その他からなります。】
しかしながら、銀歯に使われているパラジウムのは金属アレルギーを引き起こしやすく、アレルギーの誘因率が37.9%と最も高いことも分かっています。
最近では東北大学がパラジウムを含む歯科金属治療がアレルギーを誘導するメカニズムの解明をしています。
◆保険で使用できる金属の被せ物のメリットとデメリット
〜メリット〜
1. コスト効率:金属の被せ物は比較的安価で、保険でカバーされることが多いため、経済的な選択肢となります。
2. 耐久性:金属の被せ物は非常に耐久性があり、噛む力に対して強いです。しかし硬いからこそ、残っている歯が割れてしまうリスクも高いです。
〜デメリット〜
1.金属アレルギーのリスク:金属アレルギーを持っている患者は、金属の被せ物によってアレルギー反応を起こす可能性があります。
また、金属の被せ物が口腔内にあることで将来的に金属アレルギーが発症する可能性があります
2. 熱伝導性:金属は熱を伝える性質があり、冷たい飲み物や熱い食べ物を摂った際に歯に違和感を感じることがあります。(基本的には2.3週間で落ち着くことが多いです)
3.審美性:金属の被せ物は、その目立つ外見から、前歯などの審美性が重要な部位には向いていません。
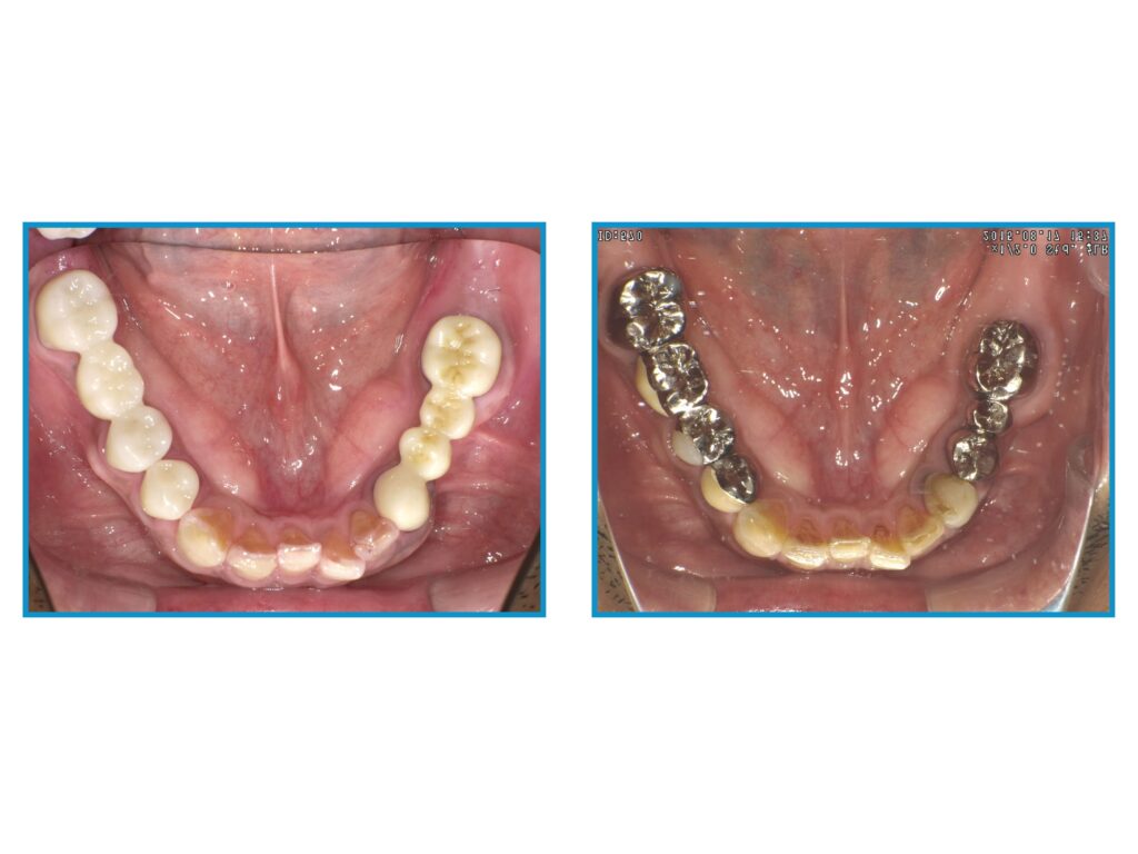
4.歯ぐきの黒ずみ:金属の被せ物は時間とともに唾液に溶けていくため、歯と歯ぐきの境界部が黒く目立つ場合があります。
(被せ物の根元が黒くなることをブラックマージン、メタルタトゥーと言います)

5.虫歯・歯周病のリスク:金属が出すプラスの電気や表面についた細かい傷により、プラーク(細菌の塊)が天然の歯よりもつきやすいため歯周病(歯茎が腫れる)や虫歯になるリスクが高くなります。
↓金属の中で広がっていた2次虫歯

↓銀歯に付着したプラーク(細菌の塊)

◆世界では銀歯は禁止
医療研究が進んでいるスウェーデンや、ドイツでは日本で使用している銀歯に使われている保険の金属は使用が禁止されています。
日本でももちろん銀歯以外にも沢山の材料がありますが、残念ながら、保険で使用できる金属は厚生労働省に決められております。
◆ジルコニアについて
当院では、セラミックの一種であり、第二の金属と言われる【ジルコニア】をおすすめしています。
さらにDENTAL TANIZAWAは外注に出さずに院内に専属の技工士がおりますので、ジルコニア専門の技工士が丁寧に作成しております。
また、院内技工ならではの低価格でご提供させていただいております。
↓メタルフリー治療を受けた患者様


◆トリートメントコーディネーターについて
当院ではカウンセリング専門のトリートメントコーディネーターがいるため、歯科医師には相談しにくい料金や持ちなど気軽に相談できるスタッフが常駐しております。
そのため、患者様にしっかり説明をした上で、ご自身に最適のものを選択いただけます。
今ある銀歯をやりかえたい方、また新しく治療を検討している方は、様々な材料からご自身に合うものをご提案いたしますので、
より詳しい説明をお聞きになりたい方は、ぜひDENTAL TANIZAWAにご相談ください!
■■□――――――――――――――――□■■
高田馬場 インプラント治療から
インビザライン(マウスピース矯正)
セラミック治療 訪問診療 まで幅広く対応
厚生労働省認可 【かかりつけ歯科医機能強化型歯科診療所】取得
DENTAL TANIZAWA
住所:新宿区西早稲田3-15-3 パラディア西早稲田1F.B1
LINE:@dentaltanizawa
■■□――――――――――――――――□■■
文章作成:DENTAL TANIZAWA
歯科衛生士 山川

